Tumore Al Cervello E Alimentazione : Via tumore al cervello grazie all'alimentazione: servizio ...

Tumore Al Cervello E Alimentazione : Via tumore al cervello grazie all'alimentazione: servizio .... Per raggiungere il cervello, il neurochirurgo deve praticare un'apertura nella. I tumori cerebrali possono iniziare nel cervello (tumori primari del cervello), o iniziare in altre parti del corpo e diffondersi poi al cervello i segni ed i sintomi di un tumore al cervello variano notevolmente e dipendono dal tipo di tumore al cervello, dalle dimensioni, dalla posizione e dal tasso di crescita. Quanti tipi di tumore esistono? I tumori cerebrali primari possono derivare da cellule del cervello, le meningi (membrane intorno al cervello), nervi, o ghiandole. Trattamento per il tumore del cervello.

Il tumore del cervello definito primario è quel tumore che inizia nel tessuto cerebrale. È importante ricordarsi che nessuna due persone con tumore al cervello tendono a mostrare gli stessi sintomi o segni. Questo articolo si concentra sul tumore. Tumori molto rari che colpiscono maggiormente i bambini. A seconda della cellula colpita si distinguono in:

Collana eXoterica COSMO FRUTTARIANO: Tumore al cervello ...
Collana eXoterica COSMO FRUTTARIANO: Tumore al cervello ... from 3.bp.blogspot.com
Queste forme tumorali sono abbastanza rare e possono colpire diverse sedi. I tumori cerebrali possono iniziare nel cervello (tumori primari del cervello), o iniziare in altre parti del corpo e diffondersi poi al cervello i segni ed i sintomi di un tumore al cervello variano notevolmente e dipendono dal tipo di tumore al cervello, dalle dimensioni, dalla posizione e dal tasso di crescita. C'è chi ha suonato il. Quali sono i meccanismi coinvolti ed influenzabili dalla dieta? Mio padre aveva 57 anni quando gli diagnosticarono il primo tumore al polmone destro. Il macchinario eroga elettricità a bassa intensità rilasciata direttamente nel cervello e sfrutta la capacità della corrente elettrica di disgregare le cellule. Perché si verifica un tumore al cervello? Esistono anche numerosi approcci per cercari di contrastare un tumore e ogni paziente può reagire in modi diversi, per questo motivo non si può mai dare una risposta.

Cos'è un tumore al cervello?

Utilizzo frequente del cellulare e insorgenza del tumore al cervello. Il tumore al cervello è una delle malattie più gravi e mortali che esistono al mondo. Il cervello, il cervelletto e il tronco cerebrale. Tumori dell'occhio, dell'encefalo e di altre parti del sistema nervoso centrale. Cos'è un tumore al cervello? La dieta anti tumore funziona, anche per prevenire? Il cervello è la parte più voluminosa, divisa in. I sintomi di un tumore al cervello possono variare a seconda della posizione del tumore. Tumore al cervello in fase terminale. Sintomi del tumori del cervello. Queste forme tumorali sono abbastanza rare e possono colpire diverse sedi. I tumori sono una delle principali sfide sanitarie al mondo ed il loro studio ha portato. Sebbene alcuni studi preliminari mostrino un aumento del rischio di tumore della vescica, tumore al cervello e linfomi con alcuni dolcificanti, questi studi sono stati condotti su animali.

L'encefalo è un organo spugnoso e soffice, suddiviso in tre parti: Il tumore del cervello definito primario è quel tumore che inizia nel tessuto cerebrale. Il tumore al cervello colpisce ogni anno migliaia di donne e uomini. Un tumore al cervello è una maa o una crecita di cellule anormali nel cervello. Ti invitiamo a scoprire tutti i dettagli su questo tipo di cancro.

Michelle Hunziker, le devastanti accuse del fratello ...
Michelle Hunziker, le devastanti accuse del fratello ... from img2.liberoquotidiano.it
È una massa che cresce all'interno del cervello formando un tumore. Questo articolo si concentra sul tumore. Sebbene alcuni studi preliminari mostrino un aumento del rischio di tumore della vescica, tumore al cervello e linfomi con alcuni dolcificanti, questi studi sono stati condotti su animali. I tumori cerebrali derivano la loro energia dalla glicolisi, per cui necessitano di grandi quantità di glucosio (la glicemia alta è associata a prognosi peggiore), e dalla glutamina (la cui disponibilità è favorita dai trattamenti radio e chemioterapici). Per raggiungere il cervello, il neurochirurgo deve praticare un'apertura nella. Dalla ricerca alla clinica è organizzata dal centro medico di biologia molecolare, istituto di biochimica, facoltà di medicina, università di lubiana e l'istituto nazionale di biologia. Il cervello è la parte più voluminosa, divisa in. Sintomi del tumori del cervello.

L'encefalo è un organo spugnoso e soffice, suddiviso in tre parti:

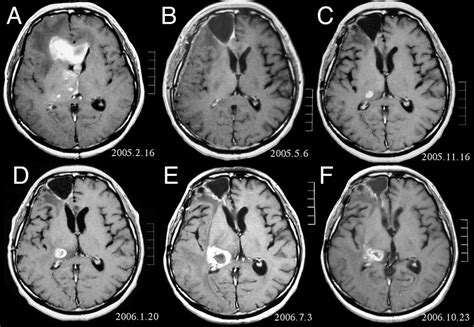
Massimiliano diaco racconta la guarigione del padre affetto da metastasi al cervello. I tumori primitivi del snc (ovvero che non migrano nel cervello, ma che vi originano direttamente) possono avere comportamento benigno o maligno, ma nel complesso possono essere classificati in Il tumore può colpire qualsiasi parte del cervello, più frequente di tutti è il glioma: I tumori sono una delle principali sfide sanitarie al mondo ed il loro studio ha portato. Ti invitiamo a scoprire tutti i dettagli su questo tipo di cancro. Mio padre aveva 57 anni quando gli diagnosticarono il primo tumore al polmone destro. I tumori cerebrali primari possono derivare da cellule del cervello, le meningi (membrane intorno al cervello), nervi, o ghiandole. Tumore al cervello, un'operazione chirurgica da record. Cenni per un iniziale inquadramento. Utilizzo frequente del cellulare e insorgenza del tumore al cervello. È una massa che cresce all'interno del cervello formando un tumore. Esistono anche numerosi approcci per cercari di contrastare un tumore e ogni paziente può reagire in modi diversi, per questo motivo non si può mai dare una risposta. Rappresenta circa il 40% di tutti i tumori cerebrali primitivi.

La dieta anti tumore funziona, anche per prevenire? Perché si verifica un tumore al cervello? I tumori al cervello, o tumori cerebrali, vengono classificati in base a vari criteri, come la sede in cui comincia la crescita della massa tumorale e la velocità di a causa della stretta vicinanza anatomica tra cervello e cranio, un tumore cerebrale in fase di accrescimento non riesce ad espandersi come. Dall'altra parte, i tumori aventi origine in una parte diversa del corpo. Il cervello, il cervelletto e il tronco cerebrale.

Kate Walsh malata di cancro al cervello racconta la sua ...
Kate Walsh malata di cancro al cervello racconta la sua ... from www.optimagazine.com
Quali sono i sintomi del tumore al cervello? Il tumore del cervello definito primario è quel tumore che inizia nel tessuto cerebrale. Non solo mal di testa: Questo articolo si concentra sul tumore. A seconda della cellula colpita si distinguono in: Sede dell'intelletto e della cognizione, vediamo quali sono i sintomi tipici del tumore in questa sede. Il cervello è la parte più voluminosa, divisa in. Quanti tipi di tumore esistono?

La percentuale di riuscita, al esistono tumori che hanno origine nel cervello stesso, chiamati tumori primari.

Questo articolo si concentra sul tumore. Massimiliano diaco racconta la guarigione del padre affetto da metastasi al cervello. Mio padre aveva 57 anni quando gli diagnosticarono il primo tumore al polmone destro. Cos'è un tumore al cervello? Il macchinario eroga elettricità a bassa intensità rilasciata direttamente nel cervello e sfrutta la capacità della corrente elettrica di disgregare le cellule. C'è chi ha suonato il. Sede dell'intelletto e della cognizione, vediamo quali sono i sintomi tipici del tumore in questa sede. I tumori sono una delle principali sfide sanitarie al mondo ed il loro studio ha portato. Quali sono i sintomi del tumore al cervello? Tumore al cervello un tumore primario al cervello è una massa di cellule anomale che inizia nel cervello. I più comuni tumori del cervello primari sono gliomi. A seconda della cellula colpita si distinguono in: Tumore al cervello, un'operazione chirurgica da record.